ScarMap® uses advanced ultrasound imaging and AI to measure tissue pliability, helping prevent injuries and optimize performance for athletes and patients.
Think of it as a cholesterol score for your soft tissue health. ScarMap® quantifies the feeling of flexibility and stiffness in your body.
Our proprietary technology measures tissue fluidity on a scale from 0-100%. Higher scores indicate more pliable, healthy tissue. Lower scores reveal stiffness that may lead to pain or injury.
This score represents overall tissue health across the scanned area
Real examples of ScarMap® analysis and reporting
14-Jan-2020
| Test Name | Result |
|---|---|
Pliability Score™ Average score across the entire ultrasound scan | 57.76% |
Connective Tissue Average score for interstitial layer below the skin and above the muscle | 25.89% |
Muscular Average score for muscle layer | 73.66% |
Pliability Score™ represents the tissue fluidity. The higher the score, the more pliable the tissue. Conversely, the lower the score, the more stiff the tissue.

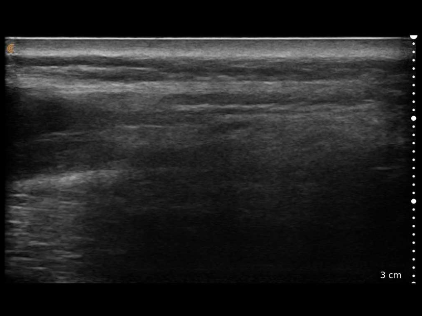
Original Ultrasound Scan
3 cm scale

Pliability Analysis
Blue = soft tissue, Red = stiff tissue
Pliability Score™ represents the tissue fluidity. The higher the score, the more soft tissue is found. Conversely, the lower the score, the more hard tissue is found.
Irregularities may be indicative of disorganized, calcified or adhered soft tissue.

Color Coding Guide
RED becomes darker where more hard tissue is found•BLUE becomes darker where more soft tissue is found
Traditional medicine often overlooks the soft tissue layer. ScarMap® fills this gap with objective, measurable data.
Early detection of tissue abnormalities helps prevent future problems and keeps athletes performing at their best.
See exactly how treatments are working with before and after comparisons of tissue health scores.
Regular tissue health monitoring helps athletes and patients maintain optimal physical condition.
From elite athletes to everyday patients, ScarMap® helps optimize soft tissue health across many applications.
Track patient progress and optimize treatment plans
Monitor athlete health and prevent injuries
Measure treatment effectiveness objectively
Optimize training and recovery programs
Simple, fast, and accurate tissue analysis in three easy steps
Quick ultrasound scan of the target area using our specialized equipment
AI processes the image to identify tissue quality and abnormalities
Receive detailed reports with scores and visual analysis
Our cutting-edge ultrasound imaging combined with AI analysis provides unprecedented insight into soft tissue health
High-frequency ultrasound captures detailed images of tissue layers, from skin surface to deep muscle structures.

Our handheld ultrasound technology provides professional-grade imaging with intuitive tablet interface
Ready to transform your practice? Contact us to learn more about ScarMap® and schedule a demo.